长江日报大武汉客户端2月27日讯 “多亏了你们,太感谢了!”2月27日,看着即将出院的儿子,小江的父母对前来查房的武汉科技大学附属普仁医院心胸外科医护人员们连连道谢。
2月19日凌晨,14岁的小江因胸痛胸闷两天紧急前往普仁医院急诊科就医。据他回忆,这些症状始于两天前的一次跑步结束后,当时左侧胸部出现疼痛,但并没有胸闷气喘等症状,想着可能是扯到筋了,没有太在意。接下来的两天里,胸痛不仅未缓解,胸闷感愈加强烈。

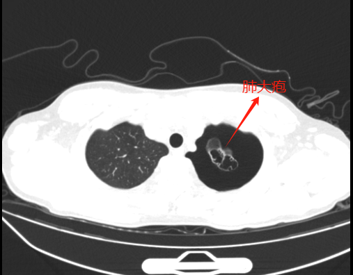
CT影像显示气胸已压缩肺组织达50%以上。
急诊科医生迅速为小江安排了胸部CT检查。结果显示,小江是自发性气胸,有多发肺大疱,肺组织已经被压缩了一半,当即将他收治到心胸外科。心胸外科主任王杰接到值班医师通知,得知情况危急,需立即进行穿刺排气,迅速赶到医院,带领团队为小江实施了胸腔闭式引流术。术后,大量积气被成功引流出,暂时缓解了症状。

左肺多个地方都有肺大疱且呈串珠状。
由于小江肺上有多发肺大疱,若不及时进行手术治疗,气胸极易反复发作,且二次发作时肺大疱再次破裂可能导致张力性气胸,严重时甚至可能危及生命。经过与患者和家属的积极沟通,2月19日上午,王杰再次为小江实施了胸腔镜下肺大疱切除术+缝扎术及胸腔镜下胸膜固定术。术中发现,胸腔内有约200毫升血性积液,左上肺和左下肺存在多发肺大疱,最大的一个有3×2厘米,且呈串珠状。
王杰指出,小江体型高瘦,这类身材特点的青少年最容易发生气胸。他解释,在青少年成长的关键时期,肺部的生长发育往往跟不上胸廓“成长”的步伐,容易导致肺尖部形成肺大疱。在进行剧烈运动时,胸腔内压力瞬间急剧变化,脆弱的肺尖部肺大疱便极易破裂,引起自发性气胸。此时的肺就像破了的气球不断变小,导致通气障碍,影响呼吸,让患者感到胸痛、喘不上来气,严重者甚至会威胁生命。
他同时提醒,虽然自发性气胸多见于体型高瘦的人,但不代表肥胖人群和健壮人群就不会发作气胸,只要肺脏薄弱,如先天发育不良或合并肺大疱,在用力时都容易出现气胸。特别需要注意的是,曾有过气胸史的年轻人,在半年内要避免此类诱发因素,比如提重物、屏气、举重、打篮球、足球等对抗性和需要突然发力的剧烈运动。如果出现运动后胸闷、胸痛、呼吸困难等症状应第一时间就医,避免延误诊治。(长江日报记者刘璇 通讯员李林牧 张雨 徐梦妮)
【编辑:余丽娜】


