长江日报大武汉客户端11月10日讯(通讯员曾瑶 荆彤)饭后一支烟还没抽上两口,突然感到胸口憋气,几次深呼吸之后疼痛越发厉害。到武汉市第四医院检查,右侧肺被压缩100%,被诊断为张力性气胸。26岁小伙怎么也没想到,自己一天两包烟竟然把自己的肺给抽“漏了气”。
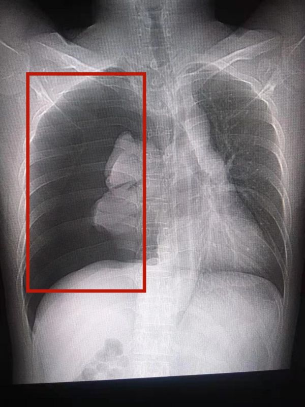
昨晚有10年烟龄的“老烟枪”小罗晚饭后,和往常一样点燃一支烟,刚抽上两口,突然感到胸口憋气,几次深呼吸之后疼痛越发厉害。尝试几次深呼吸后,胸口疼得越发厉害。到医院检查,CT影像上发现该患者右侧肺部压缩100%,完全看不到肺纹理,且右胸呼吸音完全消失。放射科医生判断该患者患有右侧张力性气胸,可能引起呼吸循环功能严重障碍,甚至产生缺氧和休克的后果,随即为小罗安排了急诊手术。

患者突发气胸,右侧肺部压缩100%。
“人体的呼吸系统是一个近乎封闭的结构,氧气吸入肺部后,在肺泡内扩散到毛细血管中,同时将组织内的二氧化碳从呼吸道排出体外。”该院呼吸内科沈三英主任解释,如果说胸腔是个盒子,那么肺部就像是放在盒子里的气球。正常的情况下,气球被吹得满满的,充满了整个盒子。而气胸就是因为各种原因导致肺部的气体进入了胸腔这个盒子,挤占了气球和盒子之间的空间,肺部就会被压迫变小,产生胸闷、胸痛、呼吸困难等症状。
一般而言气胸发于体格瘦弱的青年,可能不经意间打了一个喷嚏就会导致气胸的发生。而长期抽烟患者其气胸的发生率也高于正常值。抽烟可以导致其支气管的异常损害形成肺气肿,特别是导致胸膜下肺表面局部的肺气肿形成,并可以导致肺大泡的出现,从而易导致气胸。
医生提醒,吸烟会导致气胸的发作次数增加,也会影响呼吸道功能,出现呼吸急促、缺氧等等的情况。一旦呼吸道出现问题,身体机能会随之下降。
【编辑:余丽娜】
